横浜市磯子区で矯正歯科・小児矯正をするなら「スターボードオーラルクリニック」

〒235-0032 神奈川県横浜市磯子区新杉田町8-8 ハマシップモールA301
JR京浜東北線「新杉田駅」より徒歩2分

診療時間
10:00~13:00 × ×
14:30~19:00 × ×

△:14時~19時
休診日:木曜・日曜・祝日

当院の矯正治療の特徴

※自費診療です

経験30年の歯科医師が矯正を担当

当院で矯正治療を担当しているのは、日本歯科大学および東京医科大学で歯科矯正の研鑽を積んできた院長。院長は矯正治療の分野で、30年以上(※)にわたって経験を積み重ねてまいりました。

矯正治療は、歯科医師であれば誰にでもできるという治療ではありません。矯正の経験が浅い歯科医師に治療を任せたために、歯並びがきちんと改善されなかったり、歯や歯の根、歯ぐきなどにダメージを負わせてしまったりする可能性もあります。専門的な知識や技術が求められる分野だからこそ、豊富に経験を積んだ歯科医師に任せたほうがより安心でしょう。

院長は大学在籍中に、授業以外にも自発的に助教授の指導を受け、矯正治療について深く学んでいました。この経験が矯正治療に関する知識や経験を豊かにし、そこへ30年(※)を超える治療経験が加わり、現在に至っています。習得したあらゆる知識・技術を活かすことで、納得のいく治療を患者さまに受けていただけるものと自負しております。より良い治療を目指して十分な体制を整えておりますので、ぜひお任せください。

小児の予防矯正に力を入れています

当院の院長は、海外の医療施設の研修にも多数参加し、難しい症例の矯正治療にも少なからず携わってきました。

その経験の中で、成長とともに歯並びが複雑になればなるほど矯正治療は難しくなり、患者さまのご負担もまた大きくなるのだと実感。この経験と思いが大きく影響し、私たちは小児予防矯正に力を入れるようになりました。なぜなら、幼い頃から矯正治療を始めていただければ、お子さま自身のご負担がより小さく済むからです。

小児予防矯正は、歯並びが悪くなることを防止する予防的な治療です。治療後に歯並びが元に戻ってしまう後戻りも最小限に抑えられるなど、多くのメリットがあります。お子さまのご負担を将来にわたって軽減することを目指し、当院は小児予防矯正に取り組んでおります。

大人の方に、最先端のマウスピース矯正治療

当院では患者様のことを第一に考え、常に最先端の矯正治療を提供できるよう、日々研鑽に努めております。

当院では歯列を整える際に、従来のワイヤー矯正のみではなく、比較的新しい技術であるマウスピース矯正も提供しております。

透明なマウスピースを数週間後に付け替えて少しづつ歯を動かしていく治療です。当院では豊富な矯正治療の実績を活かし、最適な治療計画を作成いたします。

目立ちにくく取り外しが可能な矯正器具ですので、見た目を気にされる方にお勧めの治療です。

こんな歯並びになっていませんか?

歯がデコボコ

出っ歯

受け口

すきっ歯

ガミースマイル

保護者の方へ】

このような習慣や様子が続くと、上アゴの発達が悪くなり下アゴはその影響を受けてしまいます。

アゴがうまく成長しない場合、歯ならびはどんどん悪化します...

【大人の方へ】

このような歯並びを気にされていませんか?

子どもの頃の矯正治療よりも時間はかかりますが、今からでも矯正治療は可能です。

歯が生えてくる前からの歯並び作り

当院では、お子さまの歯が生えてくる前から、より良い歯並びへ導くための取り組みを行っています。

お子さまの虫歯は、歯並び悪化の原因に

お子さまの歯が虫歯でボロボロになると、そのことが原因で歯が動いてしまう場合があります。また、虫歯の部分で物を噛むと痛みますから、虫歯になっていない歯だけで噛んでしまいがち。それが習慣化すると、悪い噛み癖がついてしまうこともあるのです。

このように歯が動いたり、悪い噛み癖がついたりすると、お口周りの筋肉の正常な動きが阻害され、歯並びの悪化につながってしまいます。

キレイな歯並びは、お腹にいるときから目指せます

お子さまの歯並びをキレイな状態に導くには、「妊娠中のお母さまが、ご自身のお口の健康管理を十分になさっているかどうか」という点も大切になると、私たちは考えています。

前述の通り、お子さまの虫歯は歯並びの悪化につながりますが、ではお子さまの虫歯の原因は何でしょうか。

虫歯を引き起こすのは虫歯菌です。虫歯菌は、生まれたばかりの赤ちゃんのお口の中には存在しません。お子さまの成長過程で、お母さまのお口の中の虫歯菌がお子さまに感染してしまうこと、これがお子さまの虫歯の原因です。

お子さまへの虫歯菌の感染が遅ければ遅くなるほど、お子さまは虫歯にかかりにくくなります。そして、お母さまが妊娠中からご自分のお口を清潔に保ち、お口の中の虫歯菌を減らしておければ、お子さまに虫歯菌が感染しにくいということも判明しています。

つまり、妊娠中のお母さまのお口を清潔に保てれば、生まれてくるお子さまの虫歯菌への感染を遅らせられるため、お子さまが虫歯にかかるリスクを減らせるのです。

だからこそ当院では、妊娠中のお母さまのお口のケアについても大切に考えています。

お子さまが生まれたら、発育に合わせて正しい成長をサポート

私たちは、成長・発育に合わせてより良い歯並びに導けるよう、お子さまの歯が生えてくる前からサポートを行っています。

舌やお口周りの筋肉を正しく使っていただくため、以下の点についてアドバイスいたします。

  • 母乳の飲ませ方
  • 食事の指導
  • 舌の正しい位置に関する指導
  • 正しい飲み込み方

お子さまの歯並びの悪化を未然に防ぐことを目指して、当院ではきめ細かなサポートを続けてまいります。

健やかな成長と発育のための予防矯正を

早期に治療を始めるからこそ、健全な成長を導ける

当院では、お子さまの予防的な矯正治療として「マイオブレース矯正」に力を注いでいます。

マイオブレース矯正は、乳歯が生えそろう4~5歳くらいから始めるのがお勧め。このくらい早い時期から治療を始めると、整った歯並びに導きやすく、小学生のうちに矯正治療を完了できるからです。

そもそも、歯並びはどうして悪くなってしまうのでしょうか。その理由は、口呼吸や舌の癖などといったお口の中の良からぬ癖が影響し、本来のあごの成長を阻んでしまうことにあります。そのため、歯並びを悪くさせる根本的な原因を幼いうちに解消しておくと、本来の成長すべき大きさまで、あごが健全に成長しやすくなるのです。

マイオブレース矯正では、口ではなく鼻で呼吸する方法、正しい舌の位置、正しい飲み込み方などをお子さまに指導いたします。そしてあごの成長を健全に促すことで、美しい歯並びへと導いていきます。

歯に固定する矯正装置をつけずに済みます

4~5歳という早い時期から矯正治療を始めるメリットは、他にもたくさんあります。

例えば、矯正治療と聞くと多くの方がイメージされるだろう、歯に固定するタイプの矯正装置「ブラケットワイヤー」をつけずに済むことが挙げられます。

固定式の矯正装置は口元で目立ちやすく、いじめ・からかいの原因になることも。また、歯に装置をつけたままでは食事や歯磨きを思うようにできず、虫歯にかかってしまいやすいというデメリットもあります。

4~5歳からマイオブレース矯正を始める場合、治療に用いる矯正装置は取外し可能なマウスピースのみです。これを一定期間お口にはめることで治療を進めていくため、固定式の矯正装置を使わずに済みます。マイオブレース矯正のメリットを簡単にまとめると、以下の通りです。

  • 歯に矯正装置を固定しないため、見た目が気にならない
  • 食事や歯磨きのときにマウスピースを外せるため、不便がない
  • 普段通りに歯磨きできるため、お口を清潔な状態に保ちやすくなる
  • お口を清潔な状態に維持しやすく、虫歯や歯肉炎にかかりにくくなる
痛みの少ない、お子さまが受け入れやすい治療です

従来の矯正治療は、生えそろった永久歯にワイヤーを引っかけ、力をかけて歯を動かしていきます。この方法の場合、歯が動くたびに痛みを感じるため、患者さまにとっては負担の大きい治療でした。

マイオブレース矯正は力をかけて歯を動かすことがありません。お子さまの体が成長する力を利用し、正しい歯並びに導いていきます。だからこそ、ほとんど痛みを感じることなく、楽しく治療に臨んでいただけるのです。

ベテランスタッフが治療をサポートします

マイオブレース矯正では、おおよそ月に1回ご来院いただき、ご自宅でのアクティビティ(トレーニング)が正しく行われているかなどをチェックします。

このアクティビティの指導は、マイオブレース矯正について十分に学んだ歯科衛生士が担当します。経験20年以上(※)のベテランスタッフを中心に、当院のスタッフは皆、院長からの課題や勉強会にて日々研鑽を積んできました。

矯正治療は、長い期間じっくりと取り組むタイプの治療です。もし、治療を進めていく上で困ったことや不安に思っていることがありましたら、経験豊富な院長はもちろん、歯科衛生士にも気軽にお声がけください。

※2020年現在

後戻りの少ない治療です

従来の矯正治療は力をかけて歯を動かしていくため、動かした歯に元に戻ろうとする「後戻り」の動きが生じ、治療後、歯並びが元に戻らないよう観察する「保定期間」が必要でした。しかし、保定期間が終わった後も、時間の経過とともに歯が元の位置に戻っていく現象は少なからず発生していました。

その点、4~5歳から始めるマイオブレース矯正は、力をかけて歯を動かす治療ではありません。あごの骨を十分に成長させ、それによって美しい歯並びに導く治療です。さらに、歯並びを悪くする原因となる口呼吸や舌の癖などを、アクティビティと呼ばれるトレーニングによって改善するため、そもそも後戻りがほとんど起こりません。

このように、早い段階で始めるマイオブレース矯正には、さまざまなメリットがあります。お子さまの歯並びのことや、日々の生活の中で気になっているお口周りの癖などがありましたら、ぜひ一度ご相談ください。

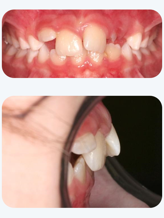
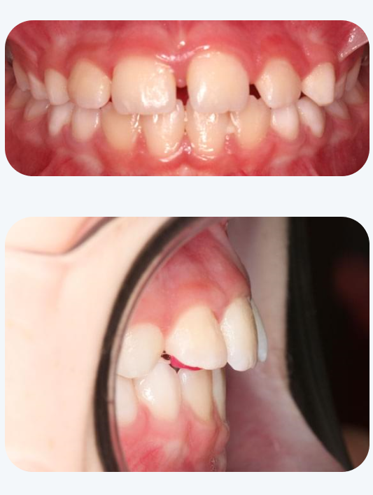
マイオブレース治療を行った症例

治療前
治療後

12歳 男子
主訴:歯並びがデコボコ
治療期間:12か月
治療経過:マイオブレース治療と筋機能療法を行った。月に1度来院していただき、お口の中やトレーニング状況を確認。
費用:40万円(税別)
※マイオブレース治療は4~5歳から開始するのがお勧めですが、上記の症例のように年齢が上がっても行える場合がございます。ご相談下さい。

痛みの少ないマウスピース矯正のご提案も

当院の小児矯正では、4~5歳から始めていただくマイオブレース矯正のみで矯正治療が完了するお子さまが、数多く見られます。そのため、お子さまの矯正治療にあたり、私たちは基本方針としてマイオブレースによる予防的な矯正をお勧めしています。

ただし、当院にお越しいただいた時点でのお子さまの年齢が、マイオブレースの適齢期を過ぎている場合には、マウスピース矯正をお勧めすることも。また、お子さまの成長具合やお口の中の状態によっては、マイオブレース矯正が終了した後にもう少し歯並びを整えたほうが望ましいと考えられるケースもあります。その際にはマウスピース矯正に移行し、さらに歯並びを整えていきます。

マウスピース矯正では、マイオブレース矯正と同様に、取り外しできる矯正装置を使用。痛みや違和感が少なく済む治療ですので、お子さまにとっても受け入れやすいかと思います。

マウスピース矯正を行う時期は、歯が生え変わるおよそ6~10歳頃です。永久歯が生えそろったらマウスピースを装着していただき、少しずつ力をかけて歯を動かし、歯並びを整えていきます。

なお、「矯正治療中の見た目が気になる」という方に喜んでもらえるのも、マウスピース矯正の大きな特徴です。金属のワイヤーを使用する従来の矯正治療では、矯正装置が目立ってしまうせいで、いじめ・からかいの原因になるのでは…と心配される保護者さまも少なからずいらっしゃいました。しかし当院の小児矯正は、簡単に取り外しができるマウスピースを使う矯正ですので、見た目に関する心配はありません。

噛み合わせや歯並びを整えることは、お口の健康はもちろん、お体全体の健康にも大きな影響を及ぼすものです。お子さまが将来にわたって健康的に過ごせるかどうか、という点にもつながっています。幼いうちから積極的に矯正治療を始めていただくことで、お子さまの健やかな成長のお手伝いができればと、私たちは考えています。

大人の方でもマウスピース矯正を受けられます

当院では、お子さまに限らず、大人の方への矯正治療もご提案しています。

治療を受ける際の患者さまのご負担を極力減らしたい…その思いは、患者さまの年齢にかかわらず同じ。だからこそ、大人の方にもマウスピースによる矯正治療をご提供しています。

お子さまの矯正治療に付き添う保護者さまが、その手軽さから「自分も治療を受けたい」とマウスピース矯正をスタートされたケースは決して少なくありません。「実は自分の歯並びも気になっていた」とお考えの保護者さまも、ぜひ気軽にご相談ください。

口腔内スキャナーによるシミュレーション

矯正治療は、2年前後の時間をかけ、少しずつ歯を動かしていく治療です。決して短くはない期間がかかるため、矯正が完了したときにご自身の歯並びがどう変化するかイメージするのは、そう簡単ではないでしょう。

「治療費と時間をかけて矯正して、もし満足のいく結果にならなかったら?」「矯正治療を受けたら、本当に口元のコンプレックスが解消されるのかな?」…こうしたご不安により、治療をためらってしまう方もいらっしゃるかもしれません。

そういったお気持ちを少しでも解消できるようにと考え、私たちは、最新機器「口腔内スキャナー」を用いたシミュレーションシステムをご用意しました。お取りした歯型やレントゲン写真、お口の中の写真をもとに、3Dシミュレーションを作成。治療が終了した後どんな歯並びになるのか、治療開始前に確認できます。

治療計画についても、このシミュレーションを確認しながらより詳しいご説明が可能です。そして、治療にかかる期間や費用のお話も含め、治療に関するすべてのことにご理解とご納得をいただいてから治療をスタートします。

治療のご負担も軽減できます

お口の型をお取りする場合、従来は粘土のような材料をお口の中に入れていただく必要がありました。この型取りの方法は、お口いっぱいに材料が入るせいで吐き気をもよおしやすいこと、強い不快感があること、さらにその状態でしばらく我慢していただかなければならないことなど、患者さまのご負担が大きいというデメリットがあります。

「口腔内スキャナー」は、こうした従来の型取りに代わる最新の機器です。小型のカメラでお口の中を撮影し、その様子を3Dデータでコンピュータ上に表示。粘土のような材料をお口に入れる必要はなく、不快感もほぼありません。しっかりとお口の型を取れて、患者さまのご負担を軽減できます。

一般的なワイヤー矯正にも対応

当院では、マウスピース矯正に加え、ワイヤーを用いた矯正治療のご提案もできます。

ワイヤー矯正は「マルチブラケット」と呼ばれる矯正装置を使い、ワイヤーを使って歯を動かしていくスタンダードな矯正方法。この方法を適用できる症例は矯正治療の中で最も多く、マウスピース矯正では改善が難しいと判断される場合でも、ワイヤー矯正なら治療可能なケースがしばしば存在します。装置やワイヤーの力を1本1本の歯に大きくかけられる分、効率的に歯を動かせるという点もメリットです。結果的に治療にかかる期間が短く済みますので、患者さまのご負担を減らせます。

歯並びの状況などによりマウスピース矯正が難しい方には、適切な矯正方法をご案内します。幅広い症例に対応しておりますので、ぜひお任せください。

感染予防対策を徹底

治療中に他の病気に感染してしまう「院内感染」。これを防止するため、私たちは感染予防対策を徹底しています。

使い捨てにできる治療器具は使い捨てに

当院では、エプロン・コップ・治療器具など、使い捨てにできるものはすべて使い捨てにしています。なかでも、歯科医師や歯科衛生士が使うグローブ(手袋)は席を離れるたびに外して捨て、戻って治療を再開する際には新しいものを使用するようにしています。

さらに、歯に空気や水をかけるシリンジという器具も、お口に触れる先端部分を使い捨てにできるタイプを採用。徹底した感染予防対策に取り組んでいます。

使用する器具はしっかり滅菌しています

タービンやハンドピース(歯を削る機械)など、使い捨てにできない器具は、専用の機器を使ってすみずみまで洗浄し、滅菌処理を施しています。この滅菌処理のために使用するのは、ヨーロッパ最高基準をクリアした「クラスB滅菌器」です。患者さまの治療ごとに、1本1本しっかりと滅菌いたします。

医療用空気清浄機で、空気を除菌

院内には、光触媒空間除菌装置とオゾン発生器を設置し、患者さまとスタッフ双方の感染防御に努めております。

院内に持ち込まれたウイルス等は、空気中を浮遊していますが、光触媒空間除菌装置(5分で99.9%除去可能)により、これらのウイルス等をしっかり除菌。人体への影響はなく無害です。また診療後には、オゾン発生器を用いた空間除菌を実施しており、ダブルで空気環境制御を行っております。

バリアフィルムを使用しています

治療中、診療台を起こしたり倒したり、あるいはライトをつけたり消したりする際、私たちスタッフは診療台にあるパネルのスイッチを操作することが多々あります。

パネルを操作した手で患者さまのお口に触れることもあるため、当院では、交換できる使い捨てのバリアフィルムをパネル部分に貼っています。バリアフィルムは患者さまごとに交換して清潔な状態を保ち、不潔な手で患者さまのお口に触れてしまうことがないよう配慮しています。

このようなさまざまな設備や工夫を取り入れることで、私たちは、より安心・安全な治療を皆さまにご提供できるよう努力を重ねています。

パソコン|モバイル
ページトップに戻る